Застосування сучасних імплантів згідно принципів AOtrauma та індивідуальних особливостей хворого.
Операційні втручання при переломах ключиці, кісток верхньої та нижньої кінцівок проводяться за допомогою LISS, LCP, DSP, PHILOS пластин та інтрамедулярних блокованих стержнів.
Перелом проксимального відділу плечової кістки синтезований пластиною типу PHILOS
Перелом проксимального відділу плечової кістки синтезований пластиною типу PHILOS
Перелом діалізу плечової кістки синтезований блокованим стержнем
Ендопротезування голівки променевої кістки при уламкових переломах
При переломах променевої кістки застосування сучасних імплантів дає можливість найшвидшого відновлення функції променезапясткового суглобу.
При переломах стегнової кістки, які найчастіше трапляються у людей похилого віку проводиться операційне втручання із застосуванням імплантів типу PFNA, PFNAL, протезування кульшового суглобу що дозволяє хворому на 2-3 добу після оперативного втручання пересуватися самостійно.
При травмах в\3 стегнової кістки та с\3 стегна застосовуються сучасні блокуючі інтрамедулярні системи що дозволяють на 2-3тю добу пересуватися
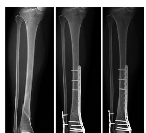
При лікуванні переломів гомілки індивідуально для кожного хворого підбирається найкращий метод фіксації з використанням , як блокуючих інтрамедулярних систем, так і накістковим остеосинтезом з використанням малоінвазивної техніки операції.
23 вересня 2025 р. 09:37