Вивих акроміального кінця ключиці - досить часта травма. Відомо, що ще Гіппократ вперше розділив поняття «вивих плеча» і «вивих акроміального кінця ключиці», які до нього вважалися однією і тією ж травмою. Звичайно ж, з точки зору неспеціаліста ці дві проблеми на перший погляд не відрізняються одина від одного і сприймаються просто як «травма плеча» або часто можна почути вираз «вибив плече». Ми спеціально зробили таку філологічну відступ для того, щоб ви розуміли, що травми плечового суглоба і сусідніх з ним структур - окремий і дуже складний напрям в травматології. Тому в разі травм цій області надзвичайно важливо лікуватися у компетентного фахівця.
Анатомія
Ключиця - невелика, S-подібно вигнута трубчаста кістка, яка одним кінцем з'єднується з грудиною (грудино-ключичний суглоб), а другим кінцем - з акроміальним відростком лопатки (акроміально-ключичний суглоб). Традиційно в ключиці виділяють три частини: грудини кінець, диафиз (середня частина) і акроміальний кінець.
Основні травми ключиці - це переломи і вивихи. Оскільки у ключиці два кінця (акроміальний і ключичний) то і вивихи можуть бути як акромиального, так і грудинного кінця. Частіше бувають вивихи акроміального кінця. До ключиці прикріплюється кілька в'язок, які з'єднують її з лопаткою.
Чому відбувається вивих ключиці?
Класичний приклад травми, при якій відбувається вивих акроміального кінця ключиці - падіння на плече. При цьому рвуться зв'язки, що з'єднують ключицю і лопатку, і після цього, ключиця під дією тяги м'язів зміщується догори.
Звичайно ж, оскільки зв'язок, що прикріплюються до ключиці кілька, то можливі різні варіанти їх розривів. Наприклад, може розірватися тільки капсула акроміально-ключичного суглоба - в такому випадку вивиху не відбудеться або буде підвивих, оскільки ключицю будуть тримати інші зв'язки. Якщо розірвуться інші зв'язки (конічна і трапецієвидна зв'язки), відбудеться вже вивих ключиці.
Вивих акроміального кінця ключиці: зліва - неповний (підвивих), клювовидно-ключично зв'язка ціла; праворуч - повний, порвані конічна і трапецієвидна зв'язки, які утворюють єдину клювовидно-ключичну зв'язку.
Вивих акроміального кінця ключиці
Ми описали найпростішу класифікацію, але насправді все набагато складніше. Серед фахівців, що займаються лікуванням травм плеча, прийнято використовувати класифікацію Роквуд, яка виділяє шість типів вивиху.
Симптоми вивиху акроміального кінця ключиці
Відразу після травми виникає біль в надпліччя. Якщо вивих повний - то ключиця випирає, і, в деяких випадках, вдається виявити симптом клавіші піаніно: при натисканні на ключицю вона вправляється на замість (опускається вниз), але якщо припинити тиск вона негайно вивихне знову. Відсутність симптому клавіші не означає, що з ключицею все в порядку. По-перше, цей симптом не завжди можливо просто перевірити з огляду на те, що у деяких пацієнтів нажимание на ключицю викликає сильний біль. По-друге, через кілька годин після травми виникає набряк. По-третє, у повних людей ключиця взагалі може погано контуріровани.
При вивихах акроміального кінця ключиці порушується функція руки - найчастіше неможливо підняти руку вище плеча, відвести руку в сторону.
Навколо ключиці виникає синець (його помилково називають гематомою, але насправді це просто синяк - Подкожножировая клітковина просочується кров'ю з розірваних зв'язок). Протягом декількох днів або навіть тижнів цей синяк може збільшуватися в розмірах і «сповзати» вниз.
Біль, як правило, протягом декількох днів зменшується, але ми радимо вам не чекати, а звернутися до лікаря відразу.
Діагноз вивиху акроміального кінця ключиці
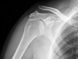
Діагноз вивиху акроміального кінця ключиці іноді дуже простий і все очевидно при огляді, а іноді доводиться вирішувати цілу головоломку. Найбільш оптимальним і поширеним способом діагностики є рентгенографія. Варто сказати, що, як не буває однакових людей, так і не буває однакових ключиць. Найчастіше причиною помилкового діагнозу індивідуальні особливості акромиально-ключичного суглоба.
Тому доцільно виконувати рентгенограму не одного плеча, а двох відразу - що дозволить оцінити нормальну будову протилежної ключиці.
Рентгенографія - діагностика при вивиху акроміального кінця ключиці
У сумнівних випадках іноді виконують функціональну рентгенографію - в руку беруть вантаж, який відтягує її вниз і вивих стає більш очевидним.
Лікування вивиху акроміального кінця ключиці
Оптимальний спосіб лікування залежить від типу вивиху. Раніше в переважній більшості випадків застосовували консервативне лікування, тобто не оперували. Суть такого лікування зводилася до того, що на кілька тижнів пацієнта заковували в громіздкі і важкі пристрої, які вправляли і утримували ключицю в потрібному положенні.
Зараз консервативне лікування показано при неповних вивихах (підвивихах), тобто при 1 або 2 типі вивиху по Роквуд. При цьому досить легкої, естетичної і зручною слінг-пов'язки, яку носять протягом 3-5 тижнів в залежності від варіанту пошкодження капсули акроміально-ключичного суглоба. Далі виконують контрольну рентгенографію і приймають рішення про реабілітацію - пов'язку знімають і приступають до фізичних вправ.
У першу добу після травми прикладають холод, який зменшує набряк і біль. Знерухомлення слінг-пов'язкою саме по собі значно знизить біль, але якщо вона залишиться - не потрібно терпіти, повідомте про це лікаря і він призначить знеболюючі препарати.
Згодом, за рішенням лікаря, слінг-пов'язка може бути замінена на тейп, який дозволяє користуватися рукою, але утримує ключицю. Тейп-пов'язка повинна накладатися тільки фахівцем. При пошкодженнях I типу тейп-пов'язка може використовуватися з самого початку.
Хірургічне лікування вивиху акроміального кінця ключиці
Перш ніж розповісти про операції, потрібно поговорити про те, навіщо взагалі оперувати. Як ми вже відзначали, при 1 і 2 типі вивиху показано консервативне лікування, так як оперувати (за рідкісними винятками) можна сказати нічого - ключиця і так на місці. Але при 3 типі вивиху, коли ключиця повністю вийшла вгору, необхідно розглядати можливість операції. Звичайно ж, ви можете задати питання - що буде, якщо не оперувати? Біль у спокої піде, гематома розсмокчеться.
Але можливі такі проблеми:
Біль при фізичному навантаженні
Зниження сили руки
Невправлена ключиця буде весь час випирати вгору, що представляє собою не тільки косметичну проблему, а й може обмежувати руху, зокрема може виникнути:
Обмеження відведення руки, тобто руку часто можна підняти вище плеча.
Всі ці проблеми можуть призвести до порушення постави.
Для кого-то всі ці можливі наслідки взагалі не представляють ніякої проблеми, так як бувають люди з вкрай невеликими фізичними запитами. У будь-якому випадку операція по вправляння ключиці не спрямована на порятунок життя, тому розглядати доцільність хірургічного лікування необхідно виходячи з професії, стилю життя і запитів пацієнта.
В цілому максимальне відновлення при повному вивиху акроміального кінця ключиці (3,4,5 і 6 типи вивихів) можливо тільки при оперативному лікуванні, в ході якого ключицю вправляють і фіксують її.
Ряд останніх наукових досліджень показав, що у спортсменів і людей з високими фізичними запитами доцільно не просто оперативне лікування, а максимально раннє оперативне лікування, що дозволяє отримати найкращі результати.
У більшості випадків операцію виконують під наркозом.
У практиці лікарів досить велика кількість варіантів операцій, але зупинимося тільки на самих малотравматичних і сучасних методах.
Методика MINAR® Mінімально Інвазивна Aкроміально-ключично Реконструкція - малоінвазивний метод хірургічного лікування вивиху акроміального кінця ключиці
Методика MINAR є найбільш яскравим представником цілого напряму операцій, в яких використовується один і той же принцип: фіксатор розташовують так, щоб вектор сили повторював хід первинних зв'язок. Раніше цю операцію виконували з використанням лавсанових ниток (лавсанопластіка), але зараз з'явилися більш сучасні матеріали. Наприклад, можлива просторова реконструкція за допомогою якірних фіксаторів.
Даний метод зберігає нормальну рухливості ключиці і забезпечує високий стабілізуючий ефект. У післяопераційному періоді необхідна іммобілізація руки косиночной пов'язкою на протязі 3-х тижнів. Так само пацієнт отримує фізіотерапевтичне лікування, реабілітаційні заходи.
Операції можна виконувати під артроскопічним контролем, який означає, що точне розташування фіксатора лікар контролює через тонку відеокамеру (артроскоп). Або відкритим способом що різко зменшує вартість лікування хворого.
Переваги методу MINAR при оперативному лікуванні вивиху акроміального кінця ключиці
Знижено до мінімуму травматичність і час виконання операції.
Знижений ризик пошкодження під час операції життєво важливих структур.
Мінімальні післяопераційні інфекційні ускладнення.
Не має потреби видалення імплантату.
Можливість початку ранньої функціональної реабілітації, в слідстві чого більш раннє відновлення функції верхньої кінцівки.
Така фіксація дуже надійна, але і вона не позбавлена недоліків.
По-перше, для даної операції потрібен великий розріз (7-10 сантиметрів).
По-друге, при установці пластини, гачок заводять під акроміальний відросток, де вона може подразнювати манжетку плеча. Надалі, при русі плечем, сухожилля травмуються про пластину, викликаючи дискомфорт, больові відчуття, обмеження руху. В результаті це може привести до пошкодження сухожиль обертальної манжети (сухожилля надостного м'язи).
По-третє, відомі випадки, коли відбувався перелом ключиці по внутрішньому краю пластини.
Фіксація ключиці крючкоподібною пластиною
У зв'язку з цим пластину рекомендується видаляти через 4-6 місяців. А це повторна операція.
Існують і кілька десятків інших операцій. При застарілих і повторних вивихах виконують інші операції (резекція акроміального кінця ключиці, пластика зв'язкового апарату ключиці за допомогою інших зв'язок, фіксація К-спицями чи гвинтами і т.д.,).
Після операції руку фіксують в косиночній пов'язкою або слінг-пов'язкою на деякий час (при різних операціях і надійності фіксації цей час варіює), після чого починають реабілітацію.
Питання, які варто обговорити з лікарем на консультації.
Яке лікування (оперативне або консервативне) можливо при моєму типі вивиху?
Яке лікування доцільно при моєму рівні фізичних запитів (професія, заняття спортом)?
Яка операція краща в моєму випадку?
Як довго після операції доведеться носити косиночную пов'язку?
Чи виникне необхідність видаляти імплант і як скоро?
04 червня 2025 р. 02:26