На сьогоднішній день лікарями оброблена статистика травм, отриманих людьми з різних причин, і найчастіше підвищений травматизм відзначений в зимову пору року. Під час ожеледиці існує ризик падіння, внаслідок чого можна отримати удар, перелом або вивих різної складності. Також спостерігаються травми, отримані під час заняттям спортом. Лікарями зафіксовано, найчастіший перелом опорно-рухового апарату - це перелом щиколотки. Дане пошкодження має особливості ускладнень через свою анатомічну будову.
Щиколотка є частиною гомілково ступневого суглобу - це суглоб (складне і міцне з'єднання) який об'єднує стопу з кістками гомілки.
Складається він з наступних кісток:
• зовнішня кісточка;
• внутрішня кісточка;
• дистальний кінець великогомілкової кістки;
• блок таранної кістки.
По суті, будова голеностопа схожа на шарнір, чия функція полягає в опорі, амортизації, забезпеченні нормального пересування. З цієї причини перелом щиколотки є серйозною травмою, яка приносить багато незручностей і не приємних відчуттів.
Основні причини перелому щиколотки
Перелом щиколотки найчастіше утворюється внаслідок не прямих травм, таких як прослизання, підгортання та інші схожі ситуації. Супроводжується перелом щиколотки утворенням кісткових уламків гомілковостопного з'єднання. Також можливі розтягнення зв'язок і сухожиль. У найважчих ситуаціях простежуються розриви зв'язок і переломи. Пряма травма (удар, падіння важкого предмета на стопу, ДТП та інші) теж може стати причиною перелому щиколотки.
Перелом щиколотки може бути отриманий в результаті нестачі кальцію. Кальцій є основою міцних кісток, без нього вони стають пухкими і крихкими. У групі ризику знаходяться, літні люди, жінки в період менопаузи, вагітні та мами. Нестача кальцію може виникати з різних причин, головне вчасно визначити і усунути проблему.
Класифікація пошкоджень
Фахівцями виділені основні типи переломів, які можна зустріти:
• закритий перелом - пошкоджується тільки кістка, а навколишні м'які тканини зберігають свою цілісність;
• відкритий перелом - при отриманні такої травми пошкоджується кістка і навколишні м'які тканини;
• перелом зі зміщенням виявляється, коли частини кісток розходяться по неправильній осі під дією сили м'язів.
Перелом щиколотки ділиться на кілька видів:
• перелом зовнішньої щиколотки зі зсувом;
• перелом зовнішньої щиколотки без зміщення;
• перелом внутрішньої щиколотки без зміщення;
• перелом внутрішньої щиколотки зі зсувом;
• перелом щиколоток і заднього краю великогомілкової кістки ("трьохлодижечний перелом")
Кожен вид травми виходить внаслідок різних ситуацій. Найважчим випадком вважається перелом обох гомілок зі зміщенням. В результаті травми ламається як внутрішня, так і зовнішня щиколотка. Травматологами зафіксовано, що в окремих випадках при впливі травмуючих чинників, зберігається внутрішня щиколотка а перелом в області зовнішньої щиколотки зі зміщенням уламків супроводжується розривом потужної дельтоподібної зв'язки гомілковостопного суглоба. Такий перелом щиколотки зустрічається досить рідко. Перелом щиколотки - серйозна травма, яку необхідно своєчасно діагностувати і лікувати.
Які ознаки при переломі
Перелом щиколотки зі зміщенням або без зміщення майже завжди супроводжується чутним хрускотом під час отримання травми. Симптоми можуть з'являтися не відразу. Іноді при отриманні травми людина може відчувати шок, що відсуває прояв симптомів на деякий проміжок часу. Вони можуть посилюватися при спробах рухати ушкодженою кінцівкою. Перелом щиколотки супроводжується гострим болем, який виникає безпосередньо в місці пошкодження. Через короткий проміжок часу після отримання травми з'являється набряк м'яких тканин і патологічна рухливість. При цьому щиколотка помітно збільшується в розмірах і відбувається візуальне згладжування контуру стопи. При великому переломі ознаки поширюються по всій нозі. Утворюються гематоми і синці специфічного синьо-фіолетового кольору. Перелом щиколотки зі зміщенням супроводжується порушенням рухової функції. При спробах руху чути хрускіт, простежується обмеження рухів стопи.\
Визначення травми щиколотки
Для постановки точного діагнозу хворому необхідно виконати рентгенографію. Знімок пошкодженої щиколотки робиться в кількох проекціях:
• пряма проекція робиться в положенні лежачи на спині при цьому пошкоджена нога зігнута в коліні;
• коса проекція проводиться, коли пацієнт лягає на бік з двома зігнутими ногами, а пошкоджена кісточка укладається під кутом до столу;
• бічну проекцію проводять після того як хворий лягає на пошкоджений бік, а пошкоджену стопу кладуть прямо.
На рентгенограмах при переломах гомілки можуть бути різні зміни, це залежить від виду перелому та механізму травми. Коли перелом щиколотки супроводжується різними ускладненнями, лікар може призначити додаткове обстеження за допомогою процедур УЗД; КТ; МРТ. Після обстеження лікар визначає ступінь складності травми і призначає лікування.
Для постановки правильного діагнозу дуже важливо надати потерпілому першу медичну допомогу:
• не можна давати потерпілому ставати на хвору ногу;
• позбавити пошкоджену кінцівку від взуття, яке може надавати зайвий тиск;
• пошкоджену ногу покласти в високе положення;
• якщо є рана, необхідно накласти асептичну пов'язку;
• покласти лід для зняття больового симптому;
• при необхідності накласти шину.
Лікування при переломі щиколотки
Перелом щиколотки може передбачати кілька методів лікування. Консервативний і оперативний. Перший метод застосовується при легких ушкодженнях - при закритих переломах і при переломі без зміщення. Метод має на увазі вправлення пошкодженої кістки з наступним накладенням гіпсу. Гіпсова пов'язка знімається після повного зрощення кісток. Терміни лікування у кожного пацієнта індивідуальні.
Якщо перелом щиколотки не дуже складний, замість гіпсу застосовується спеціальний фіксуючий бандаж.
Другий метод передбачає оперативне втручання. Операція може бути призначена в разі відкритого перелому, а також при наявності розриву зв'язок і сухожиль. Якщо перелом щиколотки має непоправне зміщення, без операції просто не обійтися.
Існує кілька видів оперативного втручання. Операція проводиться для відновлення цілісності пошкоджених зв'язок, суглобів і кісток. Який саме метод застосовувати визначає лікуючий лікар після ретельного огляду пацієнта.
Перелом щиколотки - травма непроста, тому перші післяопераційні тижні не можна ставати на пошкоджену ногу. Оперативне втручання має на меті не лише правильну репозицію та фіксацію перелому кісточок гомілки а й допомагає максимально рано відновити активні та пасивні рухи у суглобі що в свою чергу сприяє більш швидкому одужанню та відновлення працездатності. Після проведення операції пацієнтові необхідно пройти курс реабілітації. Реабілітація починається через тиждень, після того як заживають рани. Відновлювальне лікування підбирається індивідуально фахівцем ЛФК.
Навантаження на пошкоджену ногу збільшуються поступово. Основні рухи - це згинання та розгинання стопи, катання круглих предметів, утримування пальцями ніг невеликих кульок або кубиків. Після проходження лікування для повного відновлення рекомендовано займатися їздою на велосипеді і плаванням. Перелом щиколотки при неправильному реабілітаційному лікуванні може повторитися, з цієї причини рекомендується вводити навантаження не раніше ніж через 1 місяць після травми. Для того, щоб мінімізувати наслідки перелому щиколоток, під час операції потрібно точно відновити анатомію суглоба.
Дуже важливо, щоб лікування проводилося в добре обладнаній клініці. Операція перелому щиколотки вимагає не тільки високої кваліфікації лікаря, але і якісного обладнання.
Клінічний випадок 1.
Хвора Л. 45 р. отримала травму в побуті на сходах. Через 30 хв після травми доставлена родичами в травмпункт КНП ТМКЛШД. Оглянута травматологом травмпункту, направлена на рентгенографію. Згідно даних рентгенограм встановлено діагноз: Закритий с\3 – н\3 лівої м\гомілкової кістки зі зміщенням уламків. Закритий перелом внутрішньої кісточки та заднього краю лівої в\гомілкової кістки зі зміщенням. Розрив ДМГС зліва. Підвивих стопи до зовні та до заду.
Хворій накладено тимчасову фіксацію та направлено в приймальне відділення КНП ТМКЛШД. Хвора повторно оглянута травматологом стаціонару. При огляді відмічається незначний набряк, біль, порушення функції н\кінцівки. Встановлено діагноз : Закритий с\3 – н\3 лівої м\гомілкової кістки зі зміщенням уламків. Закритий перелом внутрішньої кісточки та заднього краю лівої в\гомілкової кістки зі зміщенням. Розрив ДМГС зліва. Підвивих стопи до зовні та до заду
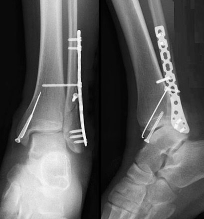
Хворій рекомендовано оперативне втручання, на яке хвора дала згоду. При госпіталізації проведено необхідні інструментальні та лабораторні методи обстежень та огляд консультантами (терапевтом та анестезіологом). В екстреному порядку хворій проведено оперативне втручання – Відкрита репозиція з МОС перелому зовнішньої кісточки стягуючим гвинтом та нейтралізуючою пластиною LCP та відкрита репозиція з МОС внутрішньої кісточки спицею та гвинтом. Після оперативного втручання хвора переведена в палату. З 2-3 доби хворій дозволено активні рухи у г\ступневому суглобі без навантаження на ліву н\кінцівку. Шви знято на 11 добу, хвора в задовільному стані з наданими рекомендаціями щодо тактики подальшого лікування виписана з травматологічного відділення.
Клінічний випадок 2.
Хвора О. звернулася в травмпункт КНП ТМКЛШД через 5 години після травми яку отримала в побуті при падінні зі стільця. Оглянута травматологом травмпункту, направлена на рентгенографію. Згідно даних рентгенограм встановлено діагноз: Закритий перелом обох кісточок правої гомілки та заднього краю в\гомілкової кістки зі зміщенням уламків. Розрив ДМГС справа. Хворій накладено тимчасову фіксацію та направлено в приймальне відділення КНП ТМКЛШД. Хвора повторно оглянута травматологом стаціонару. При огляді відмічається виражений набряк, біль, порушення функції н\кінцівки. Встановлено діагноз : Закритий перелом обох кісточок правої гомілки та заднього краю в\гомілкової кістки зі зміщенням уламків. Розрив ДМГС зліва. Оскільки на момент огляду у хворої відмічався незадовільний стан м’яких тканин хворій було запропоновано проміжне оперативне втручання з фіксацією г\ступневого суглобу в АЗФ або проміжне лікування системою скелетного витяжіння. При госпіталізації проведено необхідні інструментальні та лабораторні методи обстежень. Хвора відмовилася від накладання АЗФ. Вибрано метод лікування скелетним витягом. Під час перебування у відділенні хвора отримувала протинабрякову терапію, знеболюючі препарати, антикоагулянти. На 8-му добу лікування скелетним витягом набряк спав, м’які тканини перебували в задовільному стані. Хворій проведено демонтаж ССК. Та проведено оперативне втручання: Відкрита репозиція з МОС перелому зовнішньої кісточки пластиною LCP та відкрита репозиція з МОС внутрішньої кісточки спицею та гвинтом. Фіксація ДМГС позиційним гвинтом. Після оперативного втручання хвора переведена в палату. З 2-3 доби хворій дозволено активні рухи у г\ступневому суглобі без навантаження на праву н\кінцівку. Шви знято на 12 добу, хвора в задовільному стані з наданими рекомендаціями щодо тактики подальшого лікування та реабілітації виписана з травматологічного відділення.
Клінічний випадок 3.
Хворий М. 39 р. звернувся в травмпункт КНП ТМКЛШД через 40хв після травми яку отримав в побуті при неправильному приземленні під час стрибку. Оглянутий травматологом травмпункту, направлена на рентгенографію. Згідно даних рентгенограм встановлено діагноз: Закритий перелом обох кісточок правої гомілки зі зміщенням уламків. Хворому накладено тимчасову фіксацію та направлено в приймальне відділення КНП ТМКЛШД. Повторно огляд. травматологом стаціонару. При огляді відмічається незначний набряк, біль, порушення функції н\кінцівки. Встановлено діагноз : Закритий перелом обох кісточок правої гомілки зі зміщенням.
Хворому рекомендовано оперативне втручання, на яке була отримана згода. При госпіталізації проведено необхідні інструментальні та лабораторні методи обстежень та огляд консультантами (терапевтом та анестезіологом). В екстреному порядку хворому проведено оперативне втручання – Відкрита репозиція з МОС перелому зовнішньої кісточки дистальною м\гомілковою пластиною LCP та відкрита репозиція з МОС внутрішньої кісточки гвинтами та антиковзною пластиною. Після оперативного втручання хворий переведений в палату. З 2-3 доби хворому дозволено активні рухи у г\ступневому суглобі без навантаження на праву н\кінцівку. Шви знято на 11 добу, хворий в задовільному стані з наданими рекомендаціями щодо тактики подальшого лікування виписана з травматологічного відділення на амбулаторне лікування
23 вересня 2025 р. 11:25