КОРОТКА ЕПІДЕМІОЛОГІЧНА ІНФОРМАЦІЯ
Переломи ПВСК дуже часто виникають у літніх пацієнтів на тлі остеопоротичних змін кісткової тканини. Загальною світовою тенденцією є збільшення прошарку старшої вікової групи серед всього населення. Так, очікується збільшення мешканців Європи у віці >65 років на8% за період з 2002 (12–17%) до 2025 року (20–25%), при цьому кількість людей >80 років у всьому світі зросте втричі протягом наступних 40 років. Відбудеться збільшення остеопротичних переломів в 2-4 рази у всьому світі протягом наступних 30 років.
ПРОГНОЗ
Переломи ПВСК часто призводять до тривалого порушення функції кінцівки болю та деформації. Ускладнення від переломів ПВСК включають як локальні, так і загальні. Серед локальних найбільш поширеними є незрощення та псевдоартроз, вкорочення кінцівки. Серед загально-соматичних найбільш важливими та поширеним є загострення різноманітної супутньої патології(деменція, сердцевосудинні хвороби, застійні пневмонії та інші), що призводить до значної інвалідізації пацієнтів із унеможливлюванням самостійного пересування [AO]
В нашій практиці ми дуже часто стикаємося з переломами ПВСК проте лікування таких травм залежить від виду перелому, оскільки ризики ускладнень при даному виді травми високі то лікуючий лікар самостійно обирає найкращий спосіб фіксації перелому чи первинне ендопротезування.
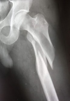
Клінічний випадок 1.
Хвора С. 84 роки отримала побутову травму при падінні на лівий бік. Бригадою швидкої допомоги доставлена в приймальне відділення КНП ТМКЛШД. Оглянута травматологом в умовах приймального відділення.
При огляді: положенння хворої пасивне на каталці, хвора вказує на біль в області лівого кульшового суглобу що посилюється при пальпації та спробі рухів у суглобі. Ліва н\кінцвка ротована до зовні. Позитивний симптом «прилиплої п’яти». Вкорочення лівої н\к до 3х см. Проведено рентгенографію лівої стегнової кістки з кульшовим суглобом. Встановлено діагноз: Закритий трансцервікальний (Клас АО 31.В2) зі зміщенням.
Хвора госпіталізована в травматологічне відділення для подальшого дообстеження та оперативного лікування з тимчасової фіксацією лівої нижньої кінцівки для зменшення больового синдому. В умовах травматологічного відділення хвора була дообстежена та оглянута суміжними спеціалістами терапевтом, кардіологом, анестезіологом.
Протягом 28 годин від отримання травми хвора була прооперована. Геміартропластика лівого кульшового суглобу. Після оперативного втручання хвора перебувала під наглядом у відділенні інтенсивної терапії. На 2гу добу хвора переведена в травматологічне відділення. В травматологічному відділення хворій під наглядом лікуючого лікаря було дозволено сідати у ліжку. На 3 тю добу хвора під наглядом лікуючого лікаря з допомогою вставала та пересувалася біля ліжка в палаті. На 5 ту дому після оперативного втручання хвора самостійно пересувалася в межах травматологічного відділення. На 12 добу хворій було знято шви з рани. Хвора в задовільному стані виписана, і самостійно залишила лікувальний заклад. Надано рекомендації з приводу подальшого лікування в амбулаторних умовах.
Клінічний випадок 2.
Хворий М. 74 роки отримав побутову травму при падінні на правий бік в результаті чого виник різкий біль в в\3 правої нижньої кінцівки. Бригадою швидкої допомоги доставлений в приймальне відділення КНП ТМКЛШД. Оглянутий травматологом в умовах приймального відділення.
При огляді: положення хворого пасивне на каталці, біль в області в\3 правої стегнової кістки та кульшового суглобу що посилюється при пальпації та спробі рухів у суглобі. Крепітація уламків. Права н\кінцівка ротована до зовні. Позитивний симптом «прилиплої п’яти». Проведено рентгенографію правої стегнової кістки з кульшовим суглобом. Встановлено діагноз: Закритий уламковий, черезвертельний перелом правої стегнової кістки (Клас АО 31.А2.2) зі зміщенням.
Хворий госпіталізований в травматологічне відділення для подальшого дообстеження та оперативного лікування. З метою тимчасової фіксації, тракції та зменшення больового синдрому накладено систему скелетного витяжіння. В умовах травматологічного відділення хворий був дообстежений та оглянута суміжними спеціалістами терапевтом, кардіологом, анестезіологом.
Протягом 32 годин від отримання травми хворий був прооперований. Операція: Закрита репозиція з металоостеосинтезом перелому 31.А2.2 проксимальним стегновим стрижнем PFN-A. Після оперативного втручання хворий перебував під наглядом у відділенні інтенсивної терапії. На 2гу добу хворий переведена в травматологічне відділення. В травматологічному відділення хворому під наглядом лікуючого лікаря було дозволено сідати у ліжку. На 3 тю добу хворий під наглядом лікуючого лікаря з допомогою вставав. На 4-ту добу пересувався біля ліжка в палаті. На 5 ту-10ту добу хворий пересувався з допомогою в ходунках в межах палати. На 12 ту добу знято шви з рани. Хворий в задовільному стані виписаний з травматологічного відділення. На амбулаторне лікування. Надано рекомендації з приводу подальшого лікування в амбулаторних умовах.
Клінічний випадок 3.
Хворий М. 34 роки отримав травму в ДТП. Бригадою швидкої допомоги доставлений в приймальне відділення КНП ТМКЛШД. Оглянутий травматологом, хірургом в умовах приймального відділення.
При огляді: положенння хворого пасивне на каталці, біль в області в\3 правої стегнової кістки та кульшового суглобу що посилюється при пальпації та спробі рухів у суглобі. Крепітація уламків. Права н\кінцівка ротована до зовні. Проведено рентгенографію правої стегнової кістки. Встановлено діагноз: Закритий уламковий, підвертельний перелом правої стегнової кістки (Клас АО 31.А3) зі зміщенням.
Хірургічної патології при поступлені хворого в стаціонар не виявлено.
Хворий госпіталізований в травматологічне відділення для подальшого дообстеження та оперативного лікування. З метою тимчасової фіксації, тракції та зменшення больового синдрому накладено систему скелетного витяжіння. В умовах травматологічного відділення хворий був дообстежений та оглянута суміжними спеціалістами терапевтом, анестезіологом.
Протягом 34 годин від отримання травми хворий був прооперований. Закрита репозиція з металоостеосинтезом перелому 31.А3 проксимальним стегновим стрижнем PFN-A-Long. Після оперативного втручання хворий перебував під наглядом у відділенні інтенсивної терапії. На 2гу добу хворий переведений в травматологічне відділення. В травматологічному відділення хворому під наглядом лікуючого лікаря було дозволено сідати у ліжку. На 3 тю добу хворий під наглядом лікуючого лікаря вставав на милиці. На 4-ту добу пересувався на милицях в межах палати. На 5 ту-10ту добу хворий пересувався з допомогою милиць в межах відділення. На 11 ту добу знято шви з рани. Хворий в задовільному стані виписаний з травматологічного відділення. На амбулаторне лікування. Надано рекомендації з приводу подальшого лікування в амбулаторних умовах.
23 вересня 2025 р. 11:20