Менінгіома - позамозкова пухлина, що росте з арахноїдальної оболонки. Частіше всього доброякісна та росте повільно. Складає 14,3-19% від первинних внутрішньочерепних новоутворів. Пік виявлення після 45 років. Співвідношення жінки/чоловіки 1,8:1.
Менінгеоми крила основної кістки є трьох основних видів : латеральні (птеріональні); середньої третини (малого крила) та медіальні (клиновидні).
Саме третя група одна з найбільш складних в хірургічному лікуванні, так як в товщі пухлини зазвичай проходять магістральні артерії Вілізієвого кола та черепно-мозкові нерви. Частота менінгіом даної локалізації 3%.
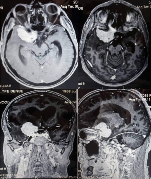
В умовах нашої лікарні вперше в Тернопільські області проведено успішне хірургічне лікування менінгіоми крила основної кістки (медіального варіанту).
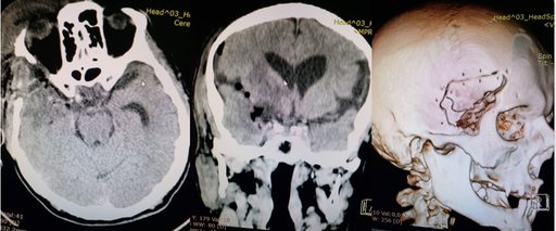
Пацієнт житель м. Тернополя звернувся з скаргами на постійний головний біль, зниження гостроти зору, головокружіння, періодичну нудоту, неконтрольований сечопуск, фокальні епінапади. Проведено дообстеження МРТ голови з контрастуванням (1,5 Т), КТ голови з контрастуванням для виявлення локалізації та співвідношення до оточуючих структур, кровопостачання пухлини.
Пухлина видалена тотально (в товщі пухлини проходили передня та середня мозкові артерії, задня сполучна артерія та передня хоріїдальна артерія), також виконана декомпресія канала зорового нерва. Для адекватного доступу використовувався Neuro High Speed Drill краніотом з мікробороми.
При операції використовувся також єдиний в області кавітаційний ультразвуковий аспіратор, який дав можливість мінімізувати крововтрату та зберегти важливе васкулярне русло.
Післяопераційний період без особливостей, симтоматика регресувала, пацієнт в задовільному стані виписаний.
23 вересня 2025 р. 11:17