Гострий холецистит – гостре неспецифічне запалення жовчного міхура, спричинене порушенням відтоку жовчі внаслідок обтурації міхурової протоки, або дією інших чинників на стінку жовчного міхура. Щороку відмічається зростання захворюваності на жовчево-кам’яну хворобу (ЖКХ). Паралельно зростає частота запізнілого звернення за медичною допомогою, що призводить до збільшення частоти ускладнених форм.
Захворюваність на гострий холецистит постійно зростає і становить в Україні у середньому 6,27 на 10 тис. населення. Летальність залишається високою - до 5–10% та як правило, трапляється у хворих похилого і старечого віку , особливо при гангренозному й емпієматозному холециститі з перфорацією та перитонітом.
Гострий холецистит може ускладнюватись гострою водянкою та емпіємою жовчного міхура, паравезикальним інфільтратом, абсцесом, перфорацією жовчного міхура, перитонітом.
Нерідко гострий калькульозний холецистит поєднується з холедохолітіазом, обтураційною жовтяницею, гнійним холангітом, холангіогенними абсцесами печінки, біліарним панкреатитом.
У своїй клінічній практиці ми спостерігали ускладнення гострого деструктивного холециститу, яке можна віднести в ранг казуїстики.
Подібних повідомлень у літературі ми не знайшли.
Опис клінічного випадку.
Хворий М., вік - 76 років, № карти стаціонарного хворого 342. Був прийнятий в хірургічне відділення в ургентному порядку 20.01.2017 р.
Хворіє більше місяця, лікувався в районій лікарні. Скарги на біль та наявність пухлиноподібного утвору в ділянці правого підребер’я, гарячку, загальну слабість, жовтяничність склер. У клініку скерований через неефективність лікування і нетиповий перебіг захворювання.
В анамнезі - жовчнокам’яна хвороба з різким нападом печінкової коліки.
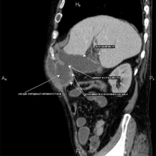
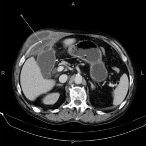
При госпіталізації, зважаючи на суперечливі дані ультразвукової діагностики, 20.01.2017 р. проведено комп’ютерну томографію
Встановлено діагноз гострого деструктивного холециститу з пенетрацією дна жовчного міхура в передню черевну стінку, утворенням фістули та розвитком субапоневротичного міжм’язового абсцесу з анаеробним компонентом. Окрім того, у хворого виявлено холедохолітіаз і механічну жовтяницю (білірубін - 98 ммоль/л).
Постало питання щодо найбільш раціонального алгоритму хірургічного лікування пацієнта. Вважаємо, що ми вчинили правильно.
21.01.2017 р. хворому розкрито абсцес передньої черевної стінки. Виділилось приблизно 150 мл гною з жовчними конкрементами в діаметрі до 1,2 мм. Після інтраопераційної санації порожнини абсцесу виявлено норицевий хід, сполучений із жовчним міхуром. Через норицю проведено холецистостомію за допомогою катетера Фолея. Стан хворого після проведеного оперативного втручання значно покращився. Через холецистостому за добу виділилось до 700мл жовчі. Механічну жовтяницю, гектичну температуру та явища біліарного сепсису було ліквідовано, що дозволило 23.01.2017 р. провести пацієнту ендоскопічну ретроградну холангіопанкреатографію, під час якої підтверджено наявність холедохолітіазу з блоком на рівні термінального відділу холедоха.
Виконано ендоскопічну папілосфінктеротомію, балонну сфінктеропластику з літоекстракцією. Операцію закінчено стентуванням загальної жовчної протоки.
На заключному етапі хірургічного лікування 26.01.2017 р. хворому проведено лапароскопічну холецистектомію
Післяопераційний період - гладкий. Хворого виписано 01.02.2017 р. в задовільному стані. Провів у стаціонарі 11 ліжко-днів.
Вважаємо, що послідовність проведення етапів хірургічної, ендоскопічної та малоінвазивної корекції тяжкого патологічного процесу у хворого старечого віку вибрано правильно.
Використання високоінформативних методів діагностики (КТ) та високотехнологічних ендоскопічних і малоінвазивних технологій дозволяє отримати позитивний результат у короткий термін навіть при поєднанні тяжких ускладнень гострого деструктивного холециститу на фоні холедохолітіазу.
03 вересня 2025 р. 09:10